• Top
  • About
  • Our Technology
  • Our Treatments
  • Treatment Fees
  • Office Hours & Location
  • Case
  • News

予約・お問合せ

  • 初回WEB予約
  • Tel.0857-30-1355
鳥取県鳥取市今町1丁目113

Tel. 0857-30-1355

診療時間 14:00~18:30

休診日 木曜・日曜・祝日

Follow us

Instagram

Dental Treatment for Beauty.
  • TOP
  • 診療ケース
Case

診療ケース

  • すべての治療
  • Ⅱ期治療
  • Ⅰ期治療
  • インプラント治療
  • ガタガタ歯
  • すきっ歯
  • セラミック治療
  • ディープバイト
  • マウスピース矯正
  • ワイヤー矯正治療
  • 下顎後退
  • 八重歯
  • 出っ歯
  • 包括的歯科治療
  • 咬み合わせ
  • 審美治療
  • 抜歯矯正治療
  • 過蓋咬合
  • 遠隔治療
  • 顎位治療
  • 顎関節治療
  • 顎関節症
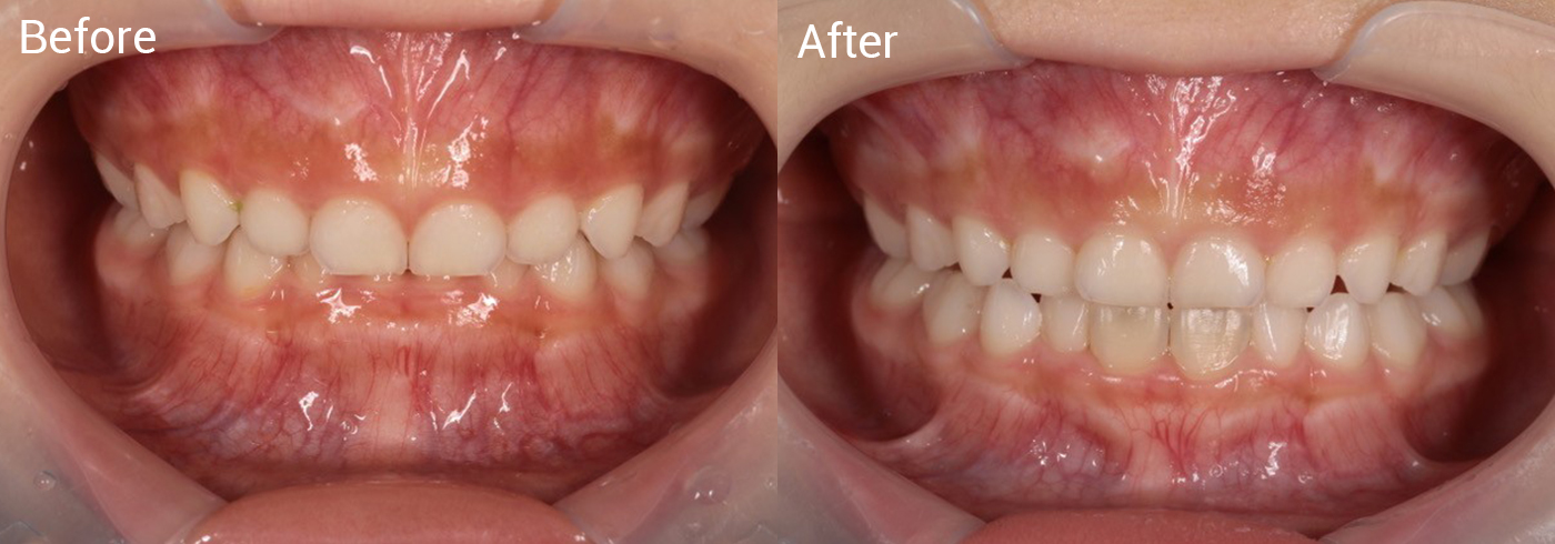
過蓋咬合(上の前歯が下の前歯に覆いかぶさる状態)
Case.96歳女児

過蓋咬合(上の前歯が下の前歯に覆いかぶさる状態)

  • Ⅰ期治療
  • ディープバイト
  • マウスピース矯正
  • 咬み合わせ
  • 過蓋咬合
  • 顎位治療
  • 顎関節治療
View more
歯並びが気になる
Case.820代女性

歯並びが気になる

  • マウスピース矯正
  • 咬み合わせ
  • 遠隔治療
View more
出っ歯が気になる
Case.78歳女児

出っ歯が気になる

  • Ⅰ期治療
  • すきっ歯
  • マウスピース矯正
  • 下顎後退
  • 出っ歯
  • 咬み合わせ
  • 顎位治療
View more
歯並びが気になる
Case.620代女性

歯並びが気になる

  • マウスピース矯正
  • 出っ歯
  • 咬み合わせ
View more
顎関節が痛くて口を開けられない、歯並びが気になる
Case.520代女性

顎関節が痛くて口を開けられない、歯並びが気になる

  • マウスピース矯正
  • 咬み合わせ
  • 顎位治療
  • 顎関節治療
  • 顎関節症
View more
歯並びが気になる、咬み合わせが悪い
Case.420代男性

歯並びが気になる、咬み合わせが悪い

  • ガタガタ歯
  • マウスピース矯正
  • 咬み合わせ
  • 抜歯矯正治療
View more
歯並びが気になる
Case.310代女性

歯並びが気になる

  • インプラント治療
  • セラミック治療
  • ワイヤー矯正治療
  • 包括的歯科治療
  • 咬み合わせ
  • 審美治療
View more
ガタガタの歯並び(叢生)が気になる
Case.210代前半男性

ガタガタの歯並び(叢生)が気になる

  • Ⅱ期治療
  • Ⅰ期治療
  • ワイヤー矯正治療
  • 八重歯
  • 咬み合わせ
View more
前歯の並びが気になる
Case.120代前半女性

前歯の並びが気になる

  • マウスピース矯正
  • 出っ歯
  • 咬み合わせ
View more
  • Top
  • About
  • Our Technology
  • Our Treatments
  • Treatment Fees
  • Office Hours & Location
  • Case
  • News

予約・お問合せ

  • 初回WEB予約
  • Tel.0857-30-1355
鳥取県鳥取市今町1丁目113

Tel. 0857-30-1355

診療時間 14:00~18:30

休診日 木曜・日曜・祝日

Follow us

Instagram

©TOD Dental Office All Right Reserved.